المواضيع
- كيف اعرف نوع الجنين من ورقة السونار
- متى يُعرف نوع الجنين بالسونار
- فوائد فحص السونار
من أكثر الأسئلة التي تطرحها الحامل هي كيف اعرف نوع الجنين من ورقة السونار، تعرفي مع عائلتي على الجواب على هذا السؤال وعلى العلامات التي توضح جنس الجنين.
كيف اعرف نوع الجنين من ورقة السونار
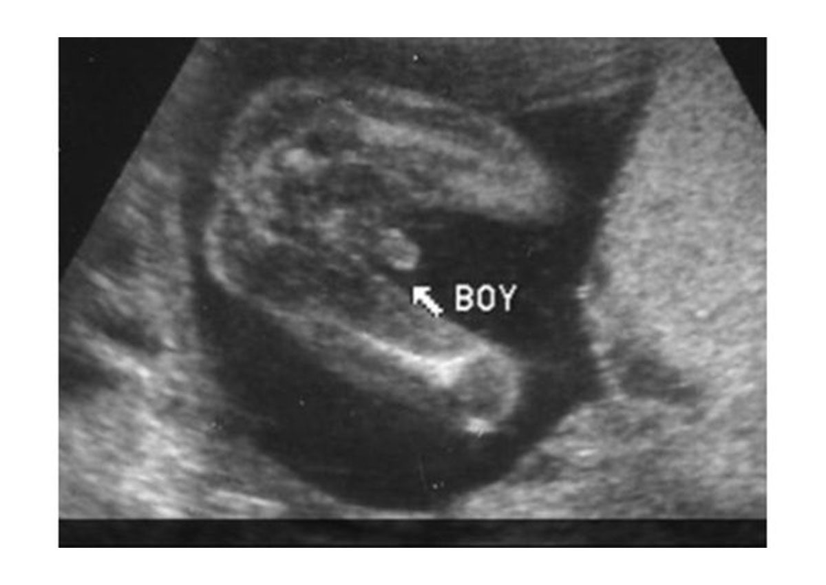
السونار هي تقنية التصوير بالموجات فوق الصوتية التي يستخدمها الطبيب للكشف عن جنس المولود وللإطمئنان عنصحته ونموه، وهي تظهر حركات الجنين والوضعيات التي يتخذها وتظهر صورها باللون الابيض والاسود.
ولتحديد جنس الجنين يتم النظر الى الجهاز التناسلي، فإذا ظهر على الشاشة ثلاث خطوط بيضاء، يدل هذا ان الجنين انثى، أما اذا كان الجنين ذكر، فيُعرف هذا بشكل واضح من العضو التناسلي ومن الكرتان الصغيرتان اللتان تمثلان العضو التناسلي للذكر.
ويمكن أيضاً تحديد جنس الجنين من موضع الرأس، اذا كان الرأس مائلاً الى اليسار، فتكون انثى، اما اذا كان مائلاً الى اليمين، فيدل هذا الن الجنين ذكر ولكن هذه ليست الطريقة المضمونة والصحيحة.
الجنين الذكر

الجنين الانثى

متى يُعرف نوع الجنين بالسونار
لتحديد جنس الجنين بالسونار، يتم هذا الفحص بعد الأسبوع 18 من الحمل وذلك بسبب صعوبة التفريق بين الذكر والانثى قبل هذه الفترة بحيث يكون البظر في الذكر يساوي الانثى. ويمكنك معرفة جنس الجنين في الأسبوع العاشر من الحمل وذلك من خلال اجراء فحص الدم المخصص للكشف عن ظهور متلازمة داون الذي يساعد على تحديد الكروموسومات التي تُعتبر المسؤولة عن كشف جنس الجنين.
فوائد فحص السونار
يحمل السونار على العديد من الفوائد التي لا تقتصر فقط على معرفة نوع الجنين بل يرافقها العديد من الفوائد الآخرى:
- يقوم بفحص دقات قلب الجنين ومعدلات تنفسه.
- يحدد السونار جنس الجنين وان كانت المرأة حامل بتوأم.
- يكشف وضعية الجنين داخل الرحم وان كانت وضعيته سليمة.
- يُبين نمو الجنين ونمو اعضائه بشكل سليم وصحي.
- يكشف ان كان الجنين يعاني من التشوهات الخلقية.
- يساعد على الكشف عن النزيف الداخلي اذا وُجد.
- يقيس وزن وحجم الجنين وتطوره خلال الاشهر.
- يكشف اذا كان الحمل خارج او داخل الرحم.
يساعد السونار كثيراً في مرحلة الحمل ويحمل العديد من الفوائد، ولكن تتساءل النساء ان كان يحمل اي اضرار على الجنين، فهل السونار يضر الجنين؟
